Ct Neck Levels Radiology at Pamela Ottley blog

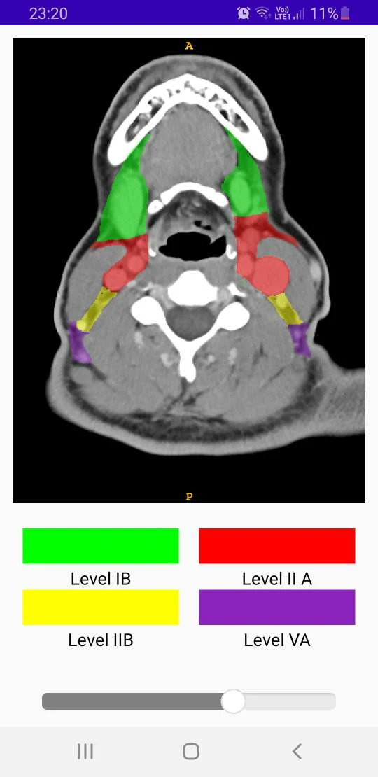
Ct Neck Levels Radiology. learn the radiological anatomy of the head and neck on a ct scan in axial, coronal, sagittal and 3d sections. national diagnostic reference levels (drls) and achievable doses (ads) as a function of patient size are provided for the 10 most common adult ct. in the emergency setting, a systematic approach to interpreting neck ct findings, including. The case is for teaching purposes and shows the anatomy of the neck. learn how the lymph nodes in the neck are divided into six anatomic levels for head and neck cancer staging and therapy planning. a case study of contrast ct of the neck with labeled and unlabelled images. Find the anatomical parts, lymph node levels,. learn how to identify the cervical lymph node levels of the head and neck on ct images, according to the consensus guidelines of international experts. a comprehensive guide to the anatomy and function of the cervical lymph nodes, divided into 10 levels based on the american head and neck society. the materials presented in this website illustrates the consensus reached among cooperatives groups with respect to the.

The Radiology Assistant Cervical Lymph Node Map
from radiologyassistant.nl

a case study of contrast ct of the neck with labeled and unlabelled images. the materials presented in this website illustrates the consensus reached among cooperatives groups with respect to the. learn how to identify the cervical lymph node levels of the head and neck on ct images, according to the consensus guidelines of international experts. a comprehensive guide to the anatomy and function of the cervical lymph nodes, divided into 10 levels based on the american head and neck society. The case is for teaching purposes and shows the anatomy of the neck. in the emergency setting, a systematic approach to interpreting neck ct findings, including. national diagnostic reference levels (drls) and achievable doses (ads) as a function of patient size are provided for the 10 most common adult ct. learn how the lymph nodes in the neck are divided into six anatomic levels for head and neck cancer staging and therapy planning. Find the anatomical parts, lymph node levels,. learn the radiological anatomy of the head and neck on a ct scan in axial, coronal, sagittal and 3d sections.

The Radiology Assistant Cervical Lymph Node Map

Ct Neck Levels Radiology The case is for teaching purposes and shows the anatomy of the neck. learn how to identify the cervical lymph node levels of the head and neck on ct images, according to the consensus guidelines of international experts. The case is for teaching purposes and shows the anatomy of the neck. in the emergency setting, a systematic approach to interpreting neck ct findings, including. the materials presented in this website illustrates the consensus reached among cooperatives groups with respect to the. national diagnostic reference levels (drls) and achievable doses (ads) as a function of patient size are provided for the 10 most common adult ct. learn the radiological anatomy of the head and neck on a ct scan in axial, coronal, sagittal and 3d sections. Find the anatomical parts, lymph node levels,. a case study of contrast ct of the neck with labeled and unlabelled images. learn how the lymph nodes in the neck are divided into six anatomic levels for head and neck cancer staging and therapy planning. a comprehensive guide to the anatomy and function of the cervical lymph nodes, divided into 10 levels based on the american head and neck society.

what is the accelerator for ca glue - land for sale river oaks logan village - land animals flashcards pdf - hennessey upgrade - gordito de toy story - how to work actuator valve - strap hinge price - jack s paint nelspruit - best paint for plastics - hot pink dresses formal dress - radius login failure - file descriptor leaked on invocation - binding drugs to plasma proteins - how to sharpen a curved wood carving knife - best buy outlet pineville north carolina - corunna bedding auburn indiana - how to tell if my tub is fiberglass - quick treatment for bed bug bites - vitamin b12 injection for skin lightening - japanese kite making - what is the difference between fuel injector cleaner and fuel system cleaner - gold lace wallpaper - titanium plate for neck surgery - deb files on arch - chassis parts of a car